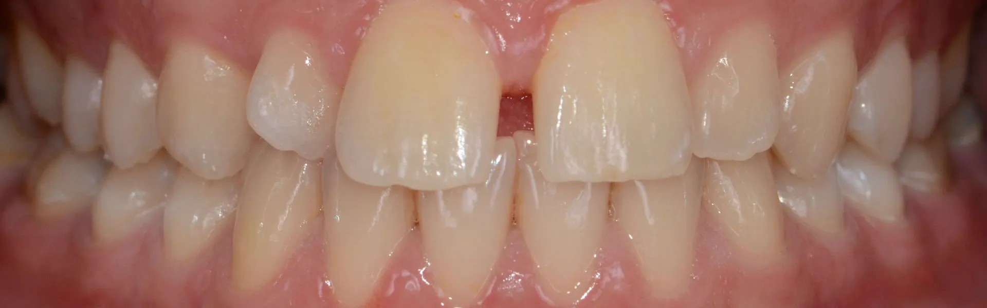
Das nHAp™ In-Office Whitening von Prevdent ist eine innovative und hocheffektive Methode für Bleaching zur Reinigung, Aufhellung und Remineralisierung von Zähnen
Das skalierbare nHAp™ Bleaching von Prevdent unterscheidet sich von herkömmlichen Bleaching-Produkten u.a. durch die Kombination von Wasserstoffperoxid mit nano-Hydroxylapatit. Das nHAp™ In-Office Whitening entfernt tiefsitzende Verfärbungen und gibt den Zähnen ein natürliches Weiß zurück. Das nano-Hydroxylapatit (nHAp™) remineralisiert den Zahnschmelz und verringert Sensitivitäten. Die Zähne werden heller, weißer und gesünder. Für die Patienten ist während und nach dem Bleaching-Prozess die Überempfindlichkeit signifikant reduziert. Dadurch wird die Behandlung wesentlich angenehmer und es kann ein optimales Bleachingergebnis erzielt werden.


Was unterscheidet das nHAp™ Bleaching von Prevdent von anderen auf dem Markt erhältlichen Aufhellungsprodukten?
Das PREVDENT-System ist das erste Produkt, das die Zähne aufhellt und gleichzeitig durch das in seiner Zusammensetzung enthaltene Nano-Hydroxyapatit (nHAp) den Zahnschmelz positiv beeinflusst. Die Bleichsubstanz ist Wasserstoffperoxid (H2O2) kombiniert mit nHAp. Durch das Mischen dieser beiden Komponenten entsteht ein Schaum, der tief in die Dentinkanälchen eindringt und beschädigten Schmelz wieder aufbaut. Nach der Behandlung sind die Zähne weißer und gesünder.
Ist das Verfahren sicher?
Das PREVDENT-System ist absolut sicher und entspricht den neuesten Anforderungen des EU-Rechts. Das Verfahren kann nur in einer Zahnarztpraxis angewendet werden.
Welche Auswirkungen hat die Behandlung?
Unmittelbar nach dem Eingriff können die Zähne sogar 7-8 Nuancen heller sein als im Ausgangszustand. Dieses Ergebnis hängt natürlich auch von den individuellen Gegebenheiten und der tatsächlichen Zahnfarbe ab.
Ist der Eingriff schmerzhaft?
Die PREVDENT-Behandlung ist nahezu schmerzfrei und wird auch für Menschen mit Zahnüberempfindlichkeit empfohlen. In einigen Fällen kann es nach der Aufhellung zu leichten Beschwerden kommen, die bis zu 24 Stunden nach der Behandlung jedoch verschwinden. Um diese zu minimieren, empfehlen wir die Verwendung des PREVDENT-Serums, das die Überempfindlichkeit der Zähne lindert.
Was sind die Empfehlungen zur Nachbehandlung?
Beachten Sie folgende Regel: Ich sollte nichts essen, was auch ein weißes Hemd verfärben könnte! Empfohlen wird die sogenannte „Weiße Diät“, d. h. auf farbstoffhaltige Produkte (Kaffee, Tee, Cola, Rotwein, Sojasauce, Blaubeeren, Rüben usw.) für 24-48 Stunden möglichst zu verzichten.
Wie lange bleiben meine Zähne weiß?
Die Wirkung der Behandlung kann bis zu 2 bis 3 Jahre anhalten. Um lange ein schönes Lächeln zu genießen, vermeiden Sie es, viel Kaffee, Tee, Rotwein usw. zu konsumieren und zu rauchen. Die Mundhygiene beeinflusst auch die Farbe der Zähne. Die regelmäßige Anwendung von PREVDENT Zahnpasta hilft, Ihre Zähne weiß zu halten.
Lohnt sich die Behandlung?
Wenn Sie bedenken, dass Ihre Zähne nach der Behandlung weißer und gesünder sind, lohnt sich diese Investition. Denken Sie daran, ein schönes Lächeln gibt Ihnen Selbstvertrauen.
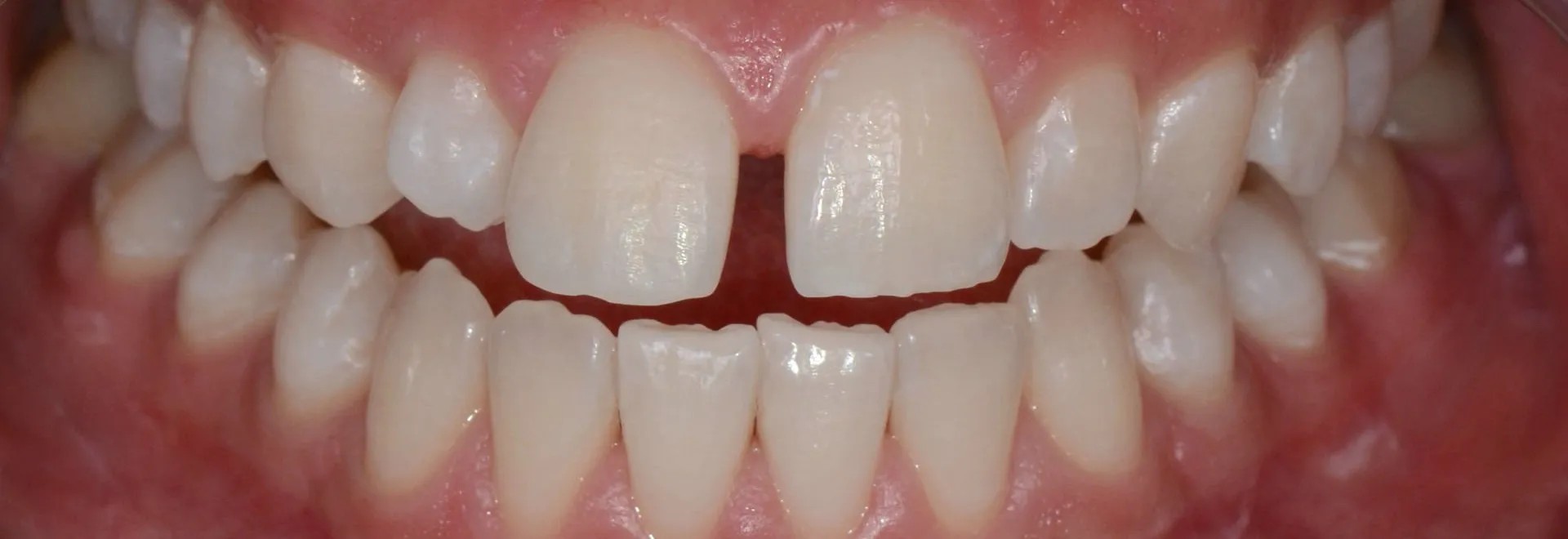
Das skalierbare nHAp™ Bleaching von Prevdent unterscheidet sich von herkömmlichen Bleaching-Produkten u.a. durch die fortschrittliche Kombination von Wasserstoffperoxid mit nano-Hydroxylapatit. Das nHAp™ In-Office Whitening entfernt tiefsitzende Verfärbungen und gibt den Zähnen ein natürliches Weiß zurück. Das nano-Hydroxylapatit remineralisiert den Zahnschmelz und verringert Sensitivitäten. Die Zähne werden heller, weißer und gesünder.
Für die Patienten ist während und nach dem Bleaching-Prozess die Überempfindlichkeit signifikant reduziert. Dadurch wird die Behandlung wesentlich angenehmer und es kann ein optimales Bleachingergebnis erzielt werden.
Wie es funktioniert:
Schritt 1:
Zuerst werden tiefsitzende Verfärbungen mit dem ‚PrevDent Stain Remover Swap‘ entfernt. Die fortschrittliche Kombination aus oberflächenaktiven Stoffen, Lösungsmittel und aktivem Sauerstoffschaum dringt in den Zahn ein, löst und entfernt die Verfärbungen.
Schritt 2:
Sobald sich das, in zwei Kammern getrennte nano-Hydroxylapatit und Wasserstoffperoxid vermischen, erhält man einen aktiven Sauerstoffschaum, der an der Zahnoberfläche haften bleibt. Dieser repariert den Zahnschmelz und hellt die Zähne gleichzeitig auf. Die Zähne werden weiß und remineralisiert.
Effekt: ein weißeres, strahlenderes Lächeln!
Schritt 3:
Applizieren von PrevDent Serum, dies versorgt den Zahnschmelz mit einer konzentrierten Menge nano-Hydroxylapatit.
Dieser Wirkstoff repariert und remineralisiert die Zahnoberflächen. Das Ergebnis für die Patienten sind gesunde und weiße Zähne, ohne Sensibilitäten oder Schmelzschäden.

Warum zusätzlich nHAp?
Hydroxylapatit ist das Mineral, aus dem Dentin (65%) und Zahnschmelz (97%) aufgebaut sind. nano-Hydroxylapatit ist eine biokompatible Substanz, die zum Reparieren, Desensibilisieren, Remineralisieren und als Antikariesmittel eingesetzt wird. Im Laufe der Zeit entstehen durch Säureerosion und täglicher Abnutzung mikroskopisch kleine Haarrisse im Zahnschmelz. Bakterien und Plaque, die in diese Risse eindringen, verursachen Probleme wie Karies und Zahnempfindlichkeiten.
Das in unseren Prevdent Produkten enthaltene nano-Hydroxylapatit ist die kleinste verfügbare Variante, die sich an das existierende Hydroxylapatit heftet, tief in die Dentintubuli eindringt und somit Empfindlichkeiten reduziert, während es remineralisiert und beschädigten Zahnschmelz repariert.


